Παρουσιάζουμε παρακάτω ένα Case Highlight – Μεταστατικό VIPoma: Το πρώτο περιστατικό στην Ελλάδα που αφαιρέθηκε ρομποτικά με τη συγκεκριμένη τεχνική (ρομποτική χειρουργική εξαίρεση) στην Δ’ Χειρουργική Κλινική του Ιασώ από την ομάδα εξειδικευμένων χειρουργών Surgical Oncology Excellence.
Πρόκειται για το πρώτο περιστατικό VIPoma πανελληνίως, που αντιμετωπίζεται κατ΄αυτόν τον τρόπο. Χάρη στην εμπειρία της Δ’ Χειρουργικής Κλινικής του Ιασώ στην ελάχιστα επεμβατική χειρουργική ήπατος, χοληφόρων και παγκρέατος, κατέστη εφικτή η διενέργεια της σύνθετης αυτής ρομποτικής επέμβασης. Οι εξειδικευμένοι χειρουργοί Καθηγητές Χειρουργικής Αλέξανδρος Παπαλάμπρος & Αθανάσιος Πέτρου με την ομάδα τους, βρίσκονται πάντα ένα βήμα μπροστά σε κάθε πρόκληση που αφορά στη Χειρουργική Ογκολογία.
Γυναίκα 50 ετών προσήλθε με ιστορικό πολλαπλών επεισοδίων διαρροϊκών κενώσεων και επίμονης υποκαλιαιμίας από αρκετών μηνών. Είχε προηγηθεί σειρά νοσηλειών σε άλλα νοσηλευτικά ιδρύματα χωρίς σαφή διάγνωση. Χάρη στην έγκαιρη και στοχευμένη διερεύνηση από την ομάδα του καθηγητή κ. Σφηκάκη Πέτρου, Διευθυντή της Γ’ Παθολογικής Κλινικής του Ιασώ, τέθηκε η διάγνωση της νόσου.
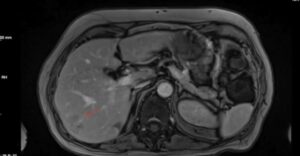
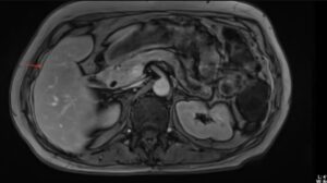
Ο εργαστηριακός έλεγχος ανέδειξε σημαντικά αυξημένα επίπεδα αγγειοδραστικού εντερικού πεπτιδίου (VIP), ενώ η απεικόνιση κατέδειξε όγκο στην ουρά του παγκρέατος με ηπατικές μεταστάσεις στα τμήματα VI, VII και III. Από το ατομικό αναμνηστικό αναφερόταν λαπαροσκοπική χολοκυστεκτομή.

Η ασθενής διαγνώστηκε με λειτουργικό νευροενδοκρινικό όγκο παγκρέατος (VIPoma) και υποβλήθηκε σε ρομποτική περιφερική παγκρεατεκτομή με σπληνεκτομή, σε συνδυασμό με εξαίρεση των ηπατικών μεταστάσεων (liver metastasectomy) και μικροκυματική κατάλυση (microwave ablation) των μεταστατικών εστιών.


Η μετεγχειρητική πορεία ήταν ομαλή, με πλήρη ύφεση της διάρροιας και αποκατάσταση των επιπέδων καλίου.
Τα VIPomas αποτελούν εξαιρετικά σπάνιους λειτουργικούς νευροενδοκρινικούς όγκους του παγκρέατος, με εκτιμώμενη επίπτωση περίπου 1 ανά 10 εκατομμύρια πληθυσμού ετησίως. Κλασικά εκδηλώνονται με το σύνδρομο WDHA (υδαρής διάρροια, υποκαλιαιμία, αχλωρυδρία) και συχνά είναι μεταστατικά κατά τη διάγνωση.
Η χειρουργική αντιμετώπιση, ακόμη και επί παρουσίας μεταστατικής νόσου, παραμένει ακρογωνιαίος λίθος της θεραπείας και προσφέρει σημαντικό κλινικό όφελος και άριστο έλεγχο των συμπτωμάτων.
Μπορείτε να δείτε όλη την πολύπλοκη χειρουργική επέμβαση στον ακόλουθο σύνδεσμο: Ρομποτική αφαίρεση μεταστατικού VIPoma
